施術の流れ
① 問診・レントゲン分析
② 神経圧迫測定器・ナーボスコープ
③ 矯正・アジャストメント
④ 術後のチェック・エクササイズ
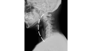
①問診・レントゲン分析
時間をかけて丁寧な問診を行い患部がどのように痛むか、どのようにして問題が起きたか、日常の姿勢等、多面的に伺い要因を限定していきます。基本的にレントゲン分析を行いますが、必要であれば更にCTスキャン・MRI等を参考にします。
②神経圧迫測定器・ナーボスコープ

カイロプラクティックでは症状の原因となっている脊柱の神経の圧迫を探し解放します。圧迫箇所をナーボスコープで探し出します。
③矯正・アジャストメント
上記の検査で矯正すべき圧迫箇所を特定し矯正します。患者様1人1人に合わせた無理のない矯正を行います。
④術後のチェック・エクササイズ

